Aurora Orthodontics & Periodontics
3535 E New York St, Suite 212
Aurora, IL 60504
(630) 338-1652

Dental Implants

implantsDental implants are a wonderful way to replace missing teeth and to preserve other teeth. A dental implant is made of medical grade titanium and is designed to replace the root of a missing tooth. The implant integrates with the jawbone, anchoring it securely and allowing a crown, bridge or denture to be placed on it by your restorative dentist. This results in improved function and comfort. If a tooth must be removed, in some circumstances the dental implant can be placed at the time of extraction. Other times the extraction site must be rebuilt with a bone graft in order to establish a firm foundation. We are proud to use the most up to date techniques and technology to restore missing teeth with esthetic comfortable implants. To find out if you are a candidate for an implant, call the office for an evaluation.

Dental implants are titanium anchors used to permanently replace teeth that are missing, cannot, or should not be saved. Dental implants themselves serve as tooth root replacements to support caps, bridges, or dentures. Developed in the 1960’s, modern dental implants revolutionized dentistry and have become the standard of care for replacement of missing or soon to be missing teeth. Dr. Patino has vast experience in the placement of dental implants.

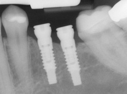
Long Term Success

X-ray of an implant in positionModern dental implants are highly reliable and exponentially stronger than the tooth roots they are replacing. Recently, the development of stronger titanium alloys (titanium) and implant-surface technology has dramatically improved dental implant success. Today, dental implants have become the single most successful implantable device in dentistry or medicine.

The success of dental implants has been extensively reported to be in the high 90% range (96-98%). Numerous studies of modern dental implants, which have existed in their current form since the 1990′s, have shown similar success rates at 15 years.

Benefits of Dental Implants

Dental implants are the most advanced tooth replacement option available to our patients. Done correctly, they are highly esthetic and will look and feel like your own teeth. Equally important, dental implants are the only tooth replacement option that maintains the jaw bone that is so critical for facial esthetics. Following loss of a tooth, the jawbone will naturally resorb (atrophy) unless replaced by a dental implant. This is traditionally what happens under bridges and dentures, a process that can give denture patients a prematurely aged, “sunken-in” look.

Besides saving bone, dental implants also save teeth. Prior to implants, fixed (non-removable) bridge-work which was used to replace missing teeth required the shaving down of adjacent teeth to serve as anchors. Besides requiring the grinding-down of sound tooth structure, this would often result in the immediate or future need for root canal treatment of the anchor teeth. Capped and root canaled anchor teeth are more vulnerable to cavities and fractures. With implants, missing teeth can be replaced without touching adjacent teeth. The results are individual tooth restorations that are easier to clean. Implants help distribute biting forces and therefore protect, not weaken adjacent teeth.


Dental implants cannot get cavities nor will they require root canals, making them the ideal option for patients with a history of cavities or failed root canals. A properly placed, healed, and well-maintained dental implant will serve as a permanent (lifetime) tooth replacement.

Top / Home