Aurora Orthodontics & Periodontics
3535 E New York St, Suite 212
Aurora, IL 60504
(630) 338-1652

Case of the Month Gallery

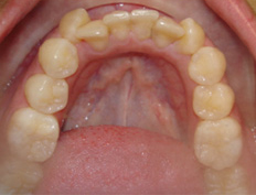
  • After
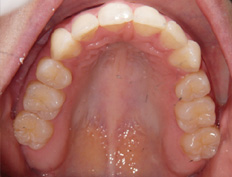
  • After
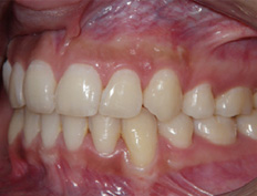
  • After
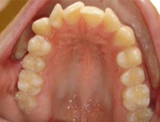
  • After
  • After

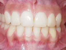
Before

After

Caption text

Top / Home